Best Test Tube Baby Hospital In Nagpur - www.matrutvaivf.com
Latest News : Protect yourself and others around you by knowing the facts and taking appropriate precautions.

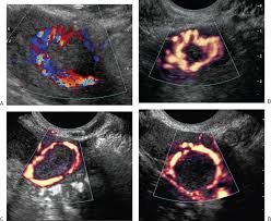
Advanced colour Doppler for Implantation Rate improvement



Embryo Donation


Advanced colour doppler is a sonography method to study blood supply of various organs in our body. In the context of infertility, the method used is transvaginal sonography and objective is to study blood supply to organs of reproductive such as, endometrium, uterus and corpus luteum. If the blood supply is not adequate, measures should be taken to correct it. Chances of embryo implantation (henceforth referred to only as implantation) can be increased by 30% if the blood supply to these organs is brought to correct level.


What are the benefits of using colour Doppler in improving implantation?
It is a non-invasive technique of monitoring blood supply of endometrium. i.e. there is no surgery involved. Just a probe in inserted to get the readings of blood supply.
It gives perfect values of blood flow in the endometrium.
If these values are low, treatment to improve the blood supply of endometrium can be planned.
Improving endometrial blood supply improves implantation rate.
Apart from measuring the blood supply, diagnosis of any pathology interfering with implantation like polyp, fibroid, adhesions can also be diagnosed.
If any such outgrowth, Hysteroscopy need to be done for removal, post which normal treatment can resume.
If you have any queries regarding this treatment, we welcome you to book an appointment for counseling and discuss your queries and expected results with the doctor.

What all details you can monitor?
As mentioned above, we use this technique to monitor flow to various reproductive organs. First let’s talk about blood supply to endometrium. Poor blood supply results in poor oxygen level. This causes implantation failure. There are 4 zones in endometrium which are studied for blood supply for implantation. With the help of colour doppler doctors can monitor to what level the supply has reached. Endometrium showing vascularity in zone 3 & 4 signifies good levels, implying high chances of embryo implantation to be successful. Second let’s talk about blood flow to corpus luteum, which is formed to support hormones required for implantation. This is important information as doctors can give supplements of hormones required for improving implantation.

Factors indicating that Advanced Colour Doppler treatment would be helpful.

This treatment will be helpful, if patient shows following conditions:
♦ Repeated embryo implantation failures.
♦ Repeated abortion history.
♦ Post infection treatment taken for endometrium.
♦ Thin endometrium. Hysteroscopy link
♦ Adenomyosis – unwanted tissue growth in uterus, resulting in low blood supply
♦ Fibroids in uterus – again resulting in reduced or no blood supply.
Important thing to note is that, Advanced Colour Doppler only helps in identifying the root cause of the issue. It needs experienced doctors to prescribe the correction course. e.g. the remedy to correct last two factors would be a Laparoscopy/Hysteroscopy surgery to remove the unwanted tissues, post which infertility treatment can resume.

Copyright © 2023 MATRUTVA HOSPITAL & TEST TUBE BABY CENTRE. All rights reserved | Design by PDigiWorld